Zirconio Multicapa: Estética y Resistencia en una Sola Pieza
En la odontología restauradora, pocas cosas importan tanto como encontrar el equilibrio perfecto entre estética y resistencia. El zirconio se ha consolidado como uno de los materiales más confiables en prótesis fijas, pero no todos los tipos de zirconio ofrecen el mismo rendimiento. Hoy te explicamos por qué el zirconio multicapa es la mejor opción para tus restauraciones, y cómo puede marcar la diferencia en tus resultados clínicos.
6/19/20252 min read


¿Qué es el zirconio multicapa?
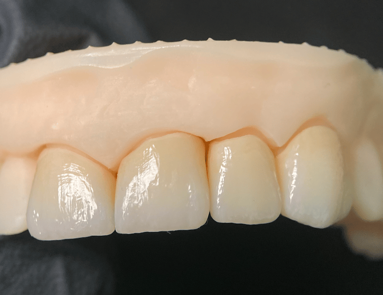
El zirconio multicapa es un tipo de zirconio monolítico fabricado con varias capas de diferente translucidez, color y resistencia, que simulan de forma progresiva la anatomía natural del diente: desde el cuello hasta el borde incisal.
A diferencia del zirconio tradicional (blanco opaco o teñido manualmente), el zirconio multicapa reproduce de forma natural el degradado cromático del esmalte y la dentina, sin necesidad de estratificación cerámica.
Ventajas del zirconio multicapa
1. Estética natural sin estratificación
Gracias a su transición suave de color y translucidez, permite restauraciones que imitan el diente natural, especialmente en sectores anteriores.
💡 Ideal para coronas y puentes sin necesidad de maquillajes o capas cerámicas complejas.
2. Alta resistencia mecánica
Aunque existen diferentes tipos según la indicación (de 600 MPa a más de 1200 MPa), la mayoría de los zirconios multicapa combinan una estética excelente con resistencia suficiente para zonas posteriores.
3. Menor tiempo de trabajo
Al ser monolítico, se elimina la necesidad de estratificación cerámica o maquillajes complejos. Esto reduce el tiempo en el laboratorio y permite entregas más rápidas a la clínica.
4. Menor riesgo de fracturas
La estructura homogénea del zirconio multicapa reduce el riesgo de descementado o fractura de capas, un problema frecuente en coronas ceramizadas tradicionales.
5. Biocompatible y libre de metal
El zirconio es un material bioinerte, altamente tolerado por los tejidos blandos. Además, evita los problemas estéticos de los márgenes metálicos o retracciones gingivales asociadas a metales.
¿Cuándo usar zirconio multicapa?
¿Por qué ofrecer zirconio multicapa en tu clínica?
Menos citas, gracias a flujos más rápidos
Mejor estética con menos retoques
Alta satisfacción del paciente
Restauraciones duraderas y predecibles
En nuestro laboratorio trabajamos con zirconio multicapa de última generación
Fresado de zirconio multicapa de marcas premium (como Aidite, Ivoclar, Katana...)
Diseño CAD personalizado según oclusión, forma y color
Entregas rápidas y soporte técnico directo para cada caso
¿Quieres probarlo en tu clínica?
Contáctanos y te asesoramos en el tipo de zirconio multicapa ideal para tus próximos casos.
🎯 Resultados naturales, resistentes y listos para impresionar a tus pacientes.








