PRÓTESIS FIJA
La prótesis fija está diseñada para restaurar dientes perdidos o dañados de forma permanente. Incluye soluciones como coronas, puentes, carillas, incrustaciones y prótesis híbridas, que pueden apoyarse tanto sobre dientes naturales como sobre implantes. Su objetivo es devolver la función masticatoria, la estética dental y la estabilidad de forma duradera y predecible.
🔹 Carillas
Restauraciones ultrafinas indicadas para mejorar la estética dental en el sector anterior. Permiten una preparación mínima del diente natural y resultados altamente estéticos.
🔹 Incrustaciones
Ideales para restaurar molares con grandes destrucciones dentales por caries o traumatismos. Se utilizan materiales como zirconio, disilicato, PMMA, composite híbrido o incluso metálicas.
🔹 Coronas y puentes
También conocidas como fundas, las coronas restauran la forma, tamaño y funcionalidad del diente. Pueden ir sobre muñones o implantes, y formar parte de puentes para reemplazar piezas ausentes.
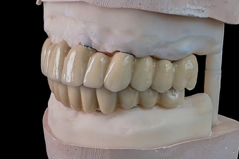
🔹 Prótesis híbridas sobre implantes
Combinan diferentes materiales (resina, metal, zirconio, etc.) para ofrecer soluciones duraderas, cómodas y de alta estética en rehabilitaciones implantosoportadas.




